
폐렴은 특히 노년층에서 심각한 건강 위협이 될 수 있으며, 감기나 독감보다 훨씬 치명적인 결과를 초래할 수 있다. 노화로 인해 면역력이 저하된 상태에서 폐렴에 걸리면 합병증 발생 위험이 높고 회복 속도가 매우 느려진다. 이 글에서는 노년층 폐렴의 주요 증상, 예방 방법, 그리고 치료법에 대해 상세히 살펴본다.
노년층 폐렴 증상
노년층의 폐렴은 젊은 성인에서 나타나는 전형적인 양상과 다를 수 있다. 일반적으로 폐렴은 고열, 기침, 가래, 호흡 곤란 등의 증상을 보이지만, 노년층에서는 이러한 전형적인 증상이 희미하거나 전혀 나타나지 않을 수 있다. 대신 전신 쇠약감, 의식 혼돈, 식욕 저하, 평소보다 더 큰 피로감이 먼저 나타나기도 한다. 면역 반응이 약해져 염증 반응이 충분히 일어나지 않기 때문에 발열이 거의 없거나 미열만 보이는 경우가 많다. 또한 기침이 심하지 않고 가래 양도 적어 초기에 폐렴임을 인지하기 어려운 상황이 자주 발생한다. 이런 특성 때문에 단순한 감기나 피로로 착각하고 치료 시기를 놓치는 사례가 빈번하다. 심한 경우 호흡 시 흉통이 나타나거나 호흡이 빨라지고 얕아지며, 피부와 입술에 청색증이 나타나기도 한다. 의식이 흐려지고 반응 속도가 떨어지는 것은 폐렴이 전신으로 악화되고 있다는 신호다. 이러한 증상은 폐렴이 이미 심각한 상태로 진행되었음을 의미하므로 즉시 병원 진료가 필요하다. 폐렴은 세균성, 바이러스성, 진균성 등 원인에 따라 차이가 있지만, 노년층에서는 세균성 폐렴이 상대적으로 흔하며, 특히 폐렴구균이 중요한 원인균으로 알려져 있다. 흡입된 병원체가 폐의 말초 부위에서 증식하며 염증 반응을 일으키고, 그로 인해 폐포 내에 삼출물이 차면서 가스 교환 기능이 저하된다. 이 과정에서 체내 산소 포화도가 급격히 떨어지고, 전신 장기 기능에도 부담을 준다.
노년층 폐렴 예방법
폐렴 예방은 무엇보다 중요하다. 노년층에서는 발병 자체를 줄이는 것이 최선의 방어이며, 이를 위해서는 면역력 유지와 병원체 노출을 최소화하는 생활 습관이 필수적이다. 예방의 핵심 중 하나는 폐렴구균 예방 접종이다. 폐렴구균 백신은 폐렴뿐만 아니라 패혈증, 뇌수막염 등 심각한 합병증의 위험을 낮출 수 있다. 많은 국가에서 65세 이상을 대상으로 한 접종 프로그램을 운영하고 있으므로 지역 보건소나 주치의에게 문의하여 접종 일정을 확인하고 권장되는 백신을 맞는 것이 좋다. 인플루엔자 백신 또한 중요하다. 계절성 독감은 폐렴으로 진행될 가능성이 있어 매년 적기에 접종을 받는 것이 바람직하다. 손 씻기는 가장 기본적이면서도 강력한 예방 수단이다. 외출 후, 식사 전, 화장실 사용 후에는 비누와 흐르는 물로 손을 30초 이상 꼼꼼히 씻는 습관을 들여야 한다. 사람이 많이 모이는 밀폐된 공간을 가능한 한 피하고, 부득이하게 방문해야 한다면 마스크를 착용하여 호흡기 감염을 줄이는 것이 도움이 된다. 영양 관리도 면역 유지에 중요한 역할을 한다. 단백질과 필수 영양소가 충분히 공급되어야 면역 세포가 정상적으로 기능할 수 있다. 신선한 과일과 채소를 통해 비타민과 무기질을 보충하고, 필요시 전문의와 상담하여 보충제를 활용할 수 있다. 비타민 D는 감염 예방과 면역 조절에 기여하므로 햇볕을 쬐는 시간을 규칙적으로 갖되, 무리한 야외 활동은 피한다. 충분한 수면과 규칙적인 생활 습관은 면역 시스템을 안정화한다. 스트레스는 면역을 저하시킬 수 있으므로 적절한 여가 활동과 친사회적 교류로 심리적 안정을 유지하는 것이 좋다. 평소 만성 질환이 있다면 꾸준히 치료와 관리를 받아 상태를 안정시키는 것이 폐렴 위험을 낮춘다. 또한 흡연은 폐의 방어 기능을 손상시키므로 금연이 강력히 권장된다.
노년층 폐렴 치료법
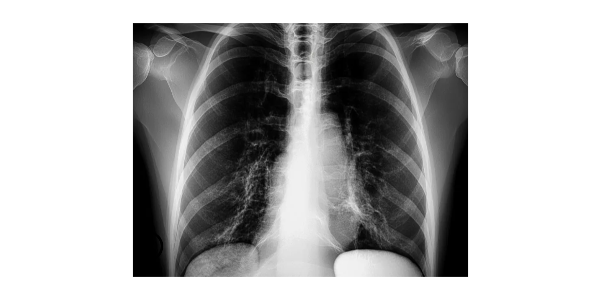
폐렴이 의심되면 조기에 의료기관을 방문해 정확한 검사와 진단을 받는 것이 중요하다. 진단에는 흉부 엑스선 촬영, 혈액 검사, 혈액 배양, 객담 검사 등이 포함되며, 필요시 추가적인 영상 검사나 특수 검사가 이루어진다. 원인 병원체를 파악하면 보다 적절한 약물 치료를 선택할 수 있다. 세균성 폐렴의 경우 항생제가 중심 치료가 된다. 노년층에서는 간 및 신장 기능을 고려하여 용량과 약제를 신중히 결정해야 하며, 기존 복용 중인 약물과의 상호작용을 확인해야 한다. 항바이러스제는 특정 바이러스가 원인일 때 사용되며, 항진균제는 드물지만 진균 감염이 원인인 경우 투여된다. 치료 시작 후 증상 개선 여부를 면밀히 관찰하고, 48~72시간 내에 호전이 없으면 치료 계획을 재검토해야 한다. 산소 치료는 저산소증을 개선하기 위해 필요할 수 있다. 중증인 경우에는 입원하여 집중적인 모니터링과 치료를 받는 것이 안전하다. 탈수나 전해질 불균형이 동반되면 정맥로를 통한 수액 보충이 필요하며, 기침과 가래 배출을 돕기 위한 물리치료나 호흡 재활도 회복에 도움이 된다. 중환자 치료가 필요한 경우 기계환기 치료를 시행하기도 한다. 항생제 치료 기간은 병의 중증도와 환자의 면역 상태에 따라 달라지며, 일반적으로 최소 며칠 이상을 권장하지만 노년층에서는 더 길게 유지될 수 있다. 치료가 끝난 후에도 완전한 회복을 위해 추가적인 평가와 재활이 필요하다. 폐 기능 저하가 의심되면 폐기능 검사와 영상 검사를 통해 후유증 여부를 확인하고 적절한 폐재활 프로그램을 권장할 수 있다. 재발 방지를 위해서는 기저 질환의 철저한 관리가 필수적이다. 당뇨나 심부전, 만성 폐쇄성 폐질환 같은 만성 질환을 가진 환자는 해당 질환을 잘 조절함으로써 폐렴 발생 위험을 낮출 수 있다. 가족과 돌봄 제공자는 초기 증상을 주의 깊게 관찰하고 이상 징후가 보이면 즉시 의료진과 상담해야 한다.
노년층 폐렴은 단순한 호흡기 질환을 넘어 생명을 위협할 수 있는 중대한 문제다. 특징적인 증상이 없거나 경미하게 나타나는 경우가 많아 조기 인지와 빠른 대응이 무엇보다 중요하다. 예방 접종과 기본적인 위생 수칙 준수, 영양과 수면 관리, 만성 질환의 적절한 치료가 폐렴 발생을 줄이는 가장 효과적인 방법이다. 폐렴이 발생하면 신속한 진단과 적절한 치료로 합병증을 예방하고 회복을 촉진해야 한다. 가족과 보호자는 노년층의 일상 상태 변화를 세심하게 관찰하고 필요시 의료 도움을 받는 것이 안전과 건강을 지키는 길이다.