
목이 뻣뻣하고 어깨가 무겁다는 느낌, 누구나 한 번쯤 경험하셨을 겁니다. 특히 장시간 앉아 일하는 직장인, 학생들 사이에서는 이런 증상이 흔하게 나타나는데요. 단순한 피로나 일시적인 통증이라고 넘기기엔 그 속에 숨어 있는 문제는 꽤 심각할 수 있습니다. 오늘은 현대인의 대표적인 자세 질환인 ‘거북목’에 대해, 증상부터 원인, 치료법까지 한눈에 정리해 보겠습니다. 평소 목과 어깨 통증을 자주 느끼셨다면 지금 이 글을 꼭 끝까지 읽어보세요.
1. 거북목이란 무엇인가 – 증상부터 의심해 보세요
거북목, 혹은 일자목이라고 불리는 이 증상은 말 그대로 목뼈가 앞으로 쏠리면서 마치 거북이처럼 고개가 빠져나온 자세를 말합니다. 정면에서 봤을 때 머리가 어깨보다 앞으로 나가 있거나, 옆에서 봤을 때 목이 직선처럼 서 있다면 거북목을 의심해 볼 수 있습니다. 대표적인 증상은 목 뒤의 뻐근함과 뻣뻣함입니다. 특히 오랜 시간 앉아서 일한 뒤 오후쯤 되면 목이 무겁고, 움직일 때 통증이 생기는 경우가 많습니다. 또한, 어깨와 승모근이 단단히 뭉치고 두통까지 동반되기도 하죠. 더 심한 경우에는 팔이나 손 저림, 눈의 피로, 만성 피로감까지 느낄 수 있습니다. 증상이 더 진행되면 단순한 근육통을 넘어 경추 디스크로 발전할 수도 있습니다. 이 경우 목뼈 사이의 디스크가 신경을 압박하게 되면서 팔 저림, 감각 저하, 집중력 저하 등의 신경 증상이 나타납니다. 이런 경우 단순한 마사지나 파스 같은 일시적 대처로는 해결되지 않으며, 정확한 진단과 치료가 필요합니다.
2. 거북목의 원인 – 자세불균형, 환경 그리고 습관
거북목의 가장 큰 원인은 잘못된 자세입니다. 특히 스마트폰이나 노트북 사용 시 고개를 앞으로 빼거나 숙인 채 오랜 시간 유지하면 목의 정렬이 무너지게 됩니다. 이로 인해 목뼈의 C자 곡선이 사라지고 일자 형태로 굳게 되죠. 이러한 자세불균형은 단순한 자세 습관만의 문제가 아닙니다. 우리가 일하는 환경 역시 큰 영향을 미칩니다. 예를 들어, 책상과 의자의 높이가 맞지 않거나, 모니터가 눈높이보다 낮은 경우에도 우리는 자연스럽게 고개를 숙이게 됩니다. 또한, 장시간 앉아 있는 동안 등을 기대지 않고 상체를 앞으로 숙인 채 작업하는 경우가 많아 목과 어깨에 지속적인 압박이 가해집니다. 스트레스도 거북목의 원인이 됩니다. 긴장 상태가 지속되면 목과 어깨 근육이 수축되며 경직되고, 이로 인해 자세가 무너지고 혈류 순환이 악화되죠. 생활 속에서 반복되는 사소한 습관들, 예를 들어 침대에 누워 스마트폰을 보는 자세, 버스나 지하철에서 목을 숙이고 휴대폰을 보는 자세 역시 모두 누적되어 거북목을 유발할 수 있습니다.
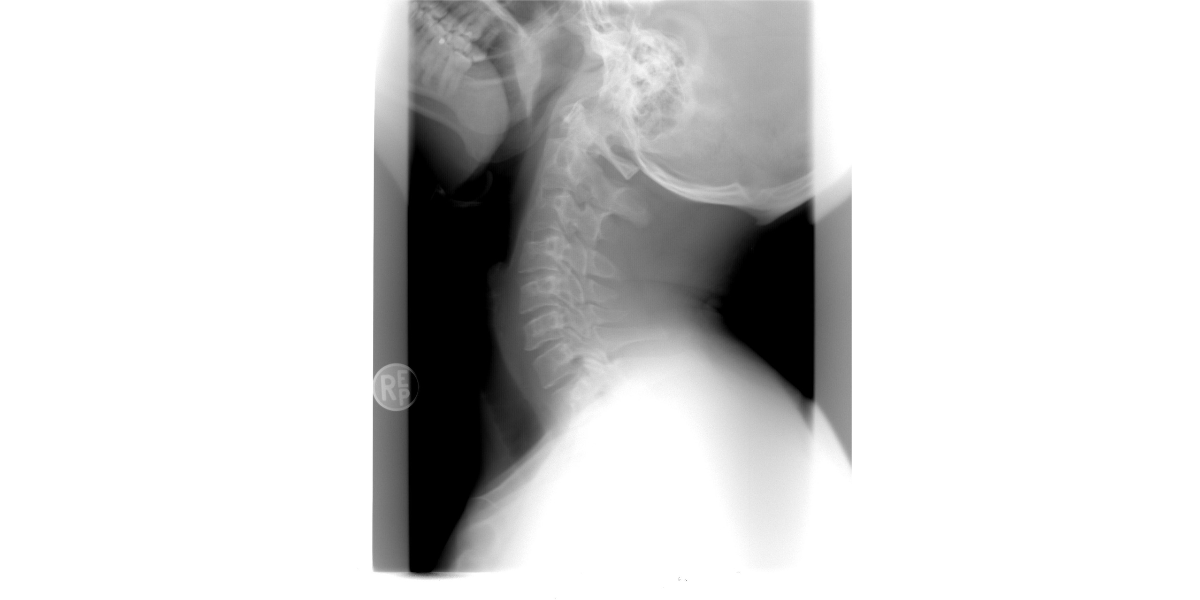
3. 치료와 예방 – 경추통증 관리법 총정리
거북목은 초기에 관리하면 비교적 쉽게 개선이 가능합니다. 먼저, 통증이 지속되거나 일상생활에 지장을 줄 정도라면 병원을 방문해 정확한 진단을 받는 것이 우선입니다. 정형외과나 재활의학과에서는 X-ray, 초음파 등을 통해 경추의 정렬 상태를 확인한 후 치료 방법을 안내합니다. 치료는 일반적으로 물리치료, 도수치료, 그리고 자세교정 운동으로 진행됩니다. 물리치료는 전기 자극이나 온열 요법을 통해 근육의 긴장을 완화시켜 주며, 도수치료는 치료사가 손으로 직접 경추와 어깨를 교정해 줍니다. 하지만 치료보다 더 중요한 것은 ‘예방’입니다. 평소 컴퓨터를 사용할 때 모니터는 눈높이와 수평이 되도록 조정하고, 허리와 등을 바르게 세우는 습관을 들여야 합니다. 또한, 정기적으로 스트레칭을 통해 경직된 근육을 풀어주는 것이 좋습니다. 대표적인 스트레칭으로는 턱 당기기 운동, 어깨 돌리기, 목 옆 근육 늘리기 등이 있으며 하루 3번, 5분씩 실천해도 큰 도움이 됩니다. 기구 활용도 좋은 방법입니다. 자세 교정 의자, 경추 전용 베개, 스탠딩 데스크, 자세 알림 앱 등을 활용하면 무의식 중에도 자세에 대한 인식을 높일 수 있습니다. 무엇보다 중요한 것은 내 몸의 신호를 무시하지 않고, 통증이 시작되는 시점에서 바로 관리에 들어가는 것입니다.
거북목은 현대인이라면 누구나 겪을 수 있는 자세 질환입니다. 그러나 방치하면 일상생활에 큰 불편을 주고, 심할 경우 경추 디스크로 이어질 수도 있습니다. 올바른 자세와 스트레칭, 생활환경 개선만으로도 충분히 예방과 관리가 가능합니다. 오늘 이 글을 읽은 당신, 지금 앉은 자세는 바른가요? 지금 바로 고개를 들어 바르게 정렬해 보세요. 변화는 작은 실천에서 시작됩니다.